Smile Gallery
Slide the arrow left and right to transition between ‘before’ and ‘after’
Crowns/Bridges

Crowns and Bridges

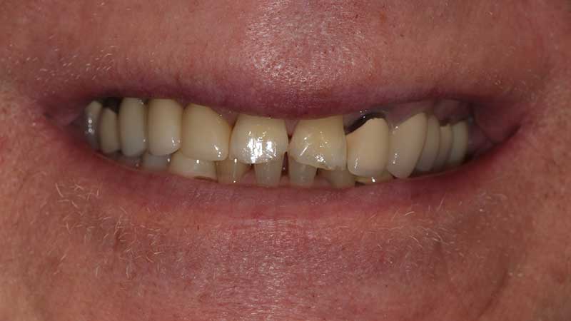
Crowns to protect broken down front teeth

Crowns to protect and improve aesthetics of worn lower anteriors

Anterior crowns to protect and rebuild teeth worn down from years of erosion
Composite Bonding

Composite bonding to disguise misshapen lateral incisors

Composite bonding to adjust shape position

Composite bonding

Composite bonding

Composite bonding

Composite bonding to close large diastema

Composite bonding to improve aesthetics of central incisors

Composite bonding to improve the shape and color of front four teeth

Composite bonding to re-shape retained baby teeth

Composite bonding to fix broken and decayed front tooth
Invisalign

Invisalign

Invisalign

Invisalign to fix crowding and crossbite

Invisalign to fix alignment and flaring

Invisalign to level out smile line and reduce diastema

Invisalign to improve alignment and overbite

Invisalign to fix malocclusion and an open bite

Invisalign and Composite Bonding to improve smile
Full Mouth Rehab

Full Mouth Rehab

Full Mouth Reconstruction using Crowns
Visit us in San Jose
Weβre ready to welcome you with open arms.
750 N. Capitol Ave
Ste A2
San Jose, CA 95133
Get Directions
Monday - Thursday: 8 am - 5 pm


